Olgu sunumu
45 yaşında sağlıklı kadın hasta, 2023 Mayıs ayında protetik gereksinimden dolayı prepare edilen 26 numaralı dişinde işlem sonrası gelişen şiddetli ağrı şikayeti ile kliniğimize başvurdu İlgili dişe kök kanal tedavisi işlemi planlandı (Şekil 1).


(Şekil 1) 2023 Mayıs 26 No Pre-Op radyografi.
Tedavi esnasında dişin meziobukkal kanalının apikal üçlüsünde alet kırığı meydana geldi. İlgili kırık alet bypass yapılmaya çalışıldı ancak başarılı olunamadı ve kanalda basamak oluştu. Dişin vital olduğu da göz önünde bulundurularak kök kanalları doldurularak dişin takibine karar verildi (Şekil 2).

(Şekil 2) 2023 Mayıs Post-Op radyografi
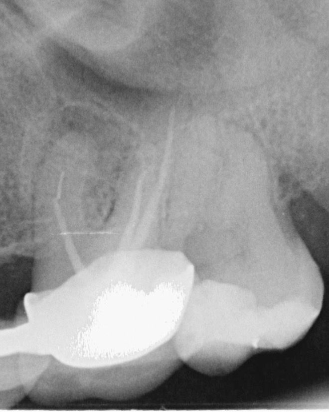
Yaklaşık 9 ay sonra hasta yapılan kontrolde (2024 Şubat) meziobukkal kök ucunda subklinik şekilde seyreden lezyon olduğu görüldü. Ancak hasta mevcut durumda tekrar tedaviyi kabul etmedi (Şekil 3). (Reddetti)


(Şekil 3). 2024 Şubat kontrol meziobukkal kök ucunda periapikal lezyon
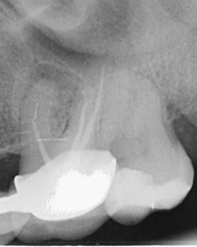
Kontrolden 14 ay sonra (2025 Nisan) hastamız bu sefer 26 numaralı dişinde ağrı şikayeti ile kliniğimize başvurdu İlgili dişe sonunda retreatmant tedavisine başlanabildi. (Şekil 4).


(Şekil 4) 2025 Nisan meziobukkal kök ucunda daha da genişlemiş periapikal lezyon
ilk seansta koronal restorasyon kaldırıldı ve kanal dolgu materyali retreatmant eğesi(Perfect, retreat one) ile uzaklaştırıldı. Dental operasyon mikroskobu altında meziobukkal 2. kanal arandı ancak koronal kısımda meziobukkal kanal ile birleştiği görüldü (Şekil 5).


(Şekil 5). Kavite görüntüsü
Apikal üçlüdeki alet ED 87 numaralı ultrasonik uç ile enerji verilerek çıkartıldı. Basamak atlanarak radyografik olarak doğrulandı. (Şekil 6a-6b)

Şekil 6a. Kontrol

Şekil 6b Basamak atlandıktan sonra gutta prova
Her eğeleme sonrası 2 ml %2,5 NaOCl ile irrigasyon yapıldı. Sonrasında kanal içi medikament yerleştirilerek geçici olarak kapatıldı. İkinci seansta hastanın asemptomatik klinik tablo sergilemesi üzerine preperasyon tamamlandı, güta-perka ve Adseal kanal dolgu patı ile soğuk lateral kondensasyon tekniği kullanılarak kanallar dolduruldu (Şekil 7).


(Şekil 7) 2025 Mayıs İntra-op ve Post-op görüntüler
Sonuç:
Kırık alet uzaklaştırmasında dental operasyon mikroskobu ile sağlanan büyütme, ultrasonik uçlar ve klinisyen deneyimi büyük önem taşımaktadır. |
Kök kanalı yenilemesini takiben 6 aylık kontrolde dişin klinik olarak asemptomatik olduğu periapikal lezyonun küçülmekte olduğu görüldü (Şekil 8). Hastanın takibi devam etmektedir.
.
(Şekil 8) 6. Ay kontrol iyileşme devam ediyor















