1. Hasta Bilgileri ve Ana Şikayet
Hasta Profili: 21 yaşında, sistemik olarak sağlıklı kadın hasta.
Ana Şikayet: Sağ üst arka bölgede çürük kaynaklı diş kırılması şikayeti ile kliniğe başvurmuştur.
2. Klinik ve Radyografik Değerlendirme
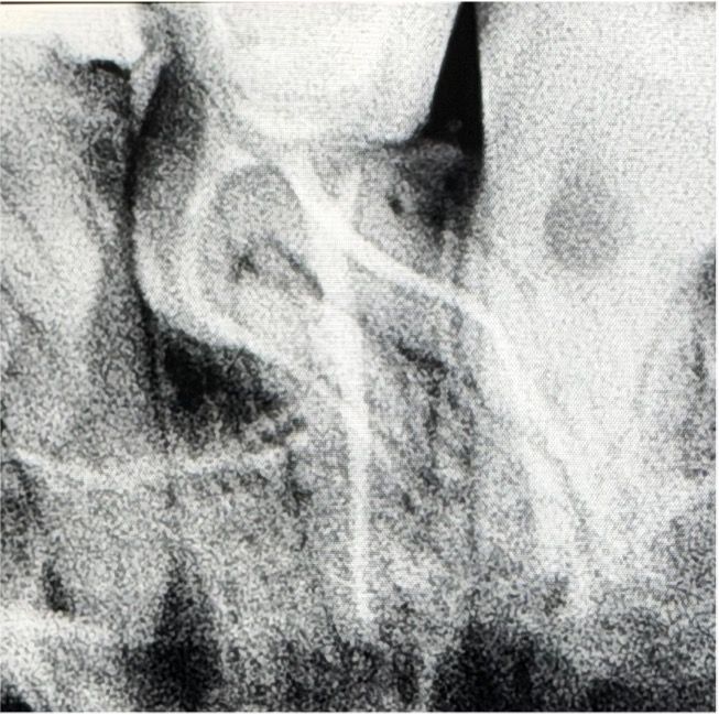
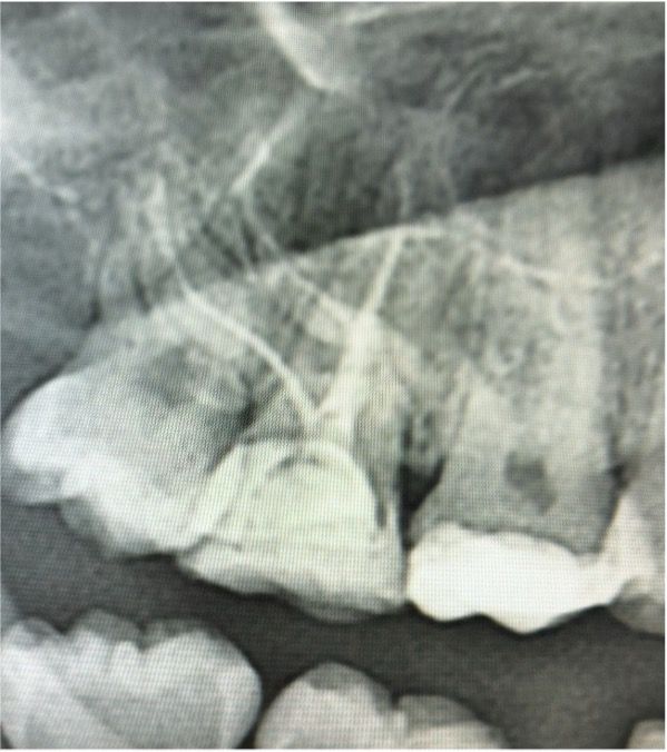
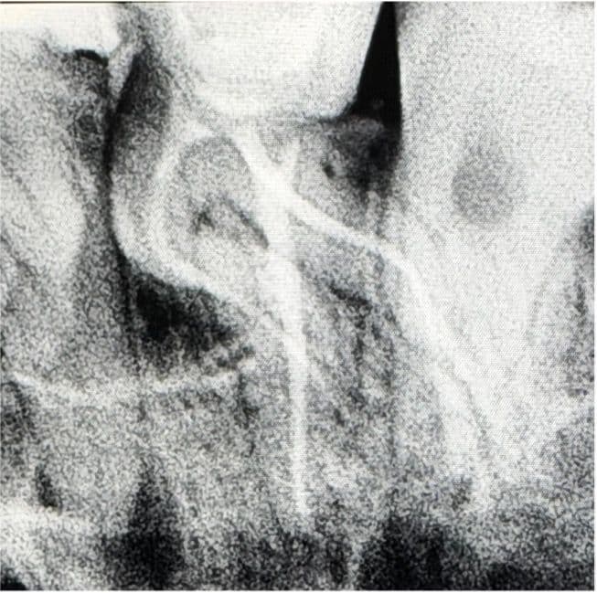
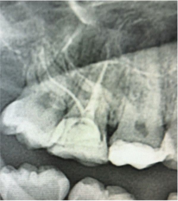
Hastanın klinik muayenesinde 17 numaralı dişte koronal yapıyı ciddi şekilde etkileyen madde kaybı ve kırık hattı gözlemlenmiştir. Alınan pre-operatif periapikal radyografide, kök kanal anatomisinin oldukça kompleks olduğu ve köklerde keskin bir kurvatür bulunduğu tespit edilmiştir. Mevcut koronal harabiyet ve pulpal durum göz önüne alınarak dişe kök kanal tedavisi endikasyonu konulmuştur.

3. Tedavi Prosedürü (Endodontik Aşama)
Zorlu kök kanal anatomisine rağmen tedavi protokolü tek seans olarak planlanmıştır.
Giriş Kavitesi ve Boy Tespiti: İzolasyon sağlandıktan sonra çürük ve desteksiz dokular uzaklaştırılarak giriş kavitesi açılmıştır. Aşırı kurvatürlü kanalların tespiti sonrasında elektronik apeks bulucu ve radyografi teyidi ile çalışma boyu belirlenmiştir.
Kemomekanik Preparasyon ve İrigasyon: Kök kanallarındaki aşırı ve keskin kurvatür (eğim) nedeniyle basamak oluşumunu (ledge) ve kanal transportasyonunu önlemek amacıyla Perfect Endo Super System Advanced Kit tercih edilmiştir. Kurvatürün yarattığı anatomik zorlukları güvenle aşmak adına koruyucu bir manipülasyon tekniği uygulanmıştır. Bu doğrultuda, sistemin döner alet eğesi öncelikle manuel olarak kök kanalına yerleştirilmiştir. Eğe kanal içerisinde kurvatür yoluna uyum sağlamış durumdayken endomotora bağlanmış ve ileri yönde ritmik "zig" hareketleri yapılarak apekse kontrollü bir şekilde ilerlenmiş ve kanal genişletmesi tamamlanmıştır. Preparasyon aşamaları boyunca ana irigasyon solüsyonu olarak NaOCl kullanılmış ve temizlik etkinliğini maksimuma çıkarmak amacıyla EDDY sonik aktivasyon sistemi ile irigasyon aktivasyonu sağlanmıştır.
Kanal Dolumu: Şekillendirme ve final irigasyonunu takiben kanallar kurutulmuş ve tek seansta sızdırmaz bir şekilde üç boyutlu obturasyon işlemi gerçekleştirilmiştir. Alınan radyografilerde aşırı kurvatürlü kanalların orijinal anatomisine sadık kalındığı görülmektedir.
4. Restoratif Aşama (Endokron Uygulaması)
17 numaralı dişteki aşırı koronal madde kaybı ve kırık geçmişi göz önüne alınarak, dişte oluşabilecek kama etkisini (wedging effect) ortadan kaldırmak ve biyomekanik direnci artırmak amacıyla post-core restorasyon yerine Endokron yapımı tercih edilmiştir. Endokron restorasyonu ile pulpa odasının retansiyonundan maksimum düzeyde faydalanılarak dişe monoblok bir yapı kazandırılmıştır.

5. Sonuç
17 numaralı diş gibi ulaşılması zor ve anatomik olarak yüksek kurvatür riskleri barındıran bir dişte, kök kanal anatomisine saygılı bir preparasyon tekniği ve etkin bir irigasyon protokolü (EDDY) ile tek seans kök kanal tedavisi başarıyla uygulanmıştır. Aşırı madde kaybı olan diş, endokron restorasyonu ile hem biyomekanik hem de fonksiyonel olarak dental arka yeniden kazandırılmıştır.














